32 year old man with Marchiafava- Bignami Disease
Marchiafava- Bignami Disease:
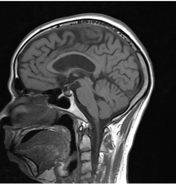
A 32 year old man with a history of consuming large amounts of alcohol since the past 3 years presented with an acute onset dementia, cognitive impairment. His last alcohol intake was 3 months back, His MRI brain revealed diffusely thinned out corpus callosum.
A 32 year old man who used to work at the Finance department at Kothagudem presented to our OPD today at 4pm with the complaints of:
Forgetfulness since 3 months
Irrelevant talk since 3 months
Lack of self care since 3 months
He studied MBA and works as an accountant. He was an occasional alcoholic for 7 years but since the past 3 years, according to his wife, he has been consuming more amount of alcohol. Initially he used to consume 180ml of whiskey per day 2 years back which increased to 360 ml of whiskey per day over the past 1 year. Over the past 3 years, his wife also tells us that he had recurrent episodes of pain abdomen and was admitted with acute pancreatitis 5 times over the past 3 years. He was also diagnosed to be a diabetic during one of his hospital stays. His wife tells us that he has been stressed regarding their financial situation. He got fired from his job 1 year back ever since then he consumes large amount of alcohol and does so sometimes without eating anything.
7 months back, his wife decided to live separately after they had an argument regarding his frequent alcohol consumption and unemployment.
3 months back, according to the patients mother, he consumed only alcohol, that is whiskey for an entire week without consuming any food.
1 week later, one morning they were unable to wake him up from his bed. They took him to a hospital where he was diagnosed with alcoholic keotosis where he was admitted for 2 weeks.
Ever since then, he has been finding it difficult to remember things and people. He hasn’t been responding or talking. He stopped taking care of himself. He hasn’t been taking bath by himself or wearing cloths. He stopped eating by himself.
However, his wife tells us that over the past one month. he has been taking bath on his own and has been wearing clothes by himself and has been obeying commands but has been talking irrelevant to the question asked. They paid a visit to our Psychiatry opd 2 weeks back and he was put on Tab Haloperidol 1.5mg OD, Tab Pregaba M OD, Tab Memantine 5mg OD and Tab Ben XL OD.
His mother tells us that he has improved ever since he has been started on these medications, the irrelevant responses have reduced.
He is a thin built man
PR - 82 bpm
BP - 120/80mmhg
GRBS - 260mg/dl
With an MMSE score of 12/30
Lobar function tests :
Frontal lobe:
The patient has lack of insight to his problems
Lack of problem solving, abstract thinking and judgement
Parietal lobe:
Visuospacial disorientation +
Unable to perform calculations
Right left orientation, finger recognition present and able to perform motor sequencing
Occipital lobe-
Able to recognize his mother
Recognized his wife as his sister
Reflexes: Right Left
B 2+ 2+
T 2+ 2+
S 2+ 2+
K 2+ 2+
A + +
P Plantar flexion
His Metabolic profile was within the normal range.
MRI BRAIN: showing Diffusely thinned out corpus callosum
Marchiafava-Bignami disease (MBD) is a rare condition characterized by demyelination of the corpus callosum. It is seen most often in patients with chronic alcoholism.
It was discovered in 1903 by Italian pathologists Ettore Marchiafava and Amico Bignami. They described men with alcohol use disorder who died of seizures and coma that presented necrosis of their corpus callosum on autopsy.
Alcohol associated Vitamin B1 deficiency and oxidative stress may directly damage the corpus callosum producing an initial phase of cytotoxic edema and breakdown of the blood-brain barrier, and a later phase of focal demyelination and necrosis, consequently resulting in atrophy.
Alcohol alters neurotransmitter activity, disables neuronal plasticity, interferes with lipid metabolism, and influences the expression of proteins responsible for attaching cytoskeletal elements in the white matter.
Damage of the corpus callosum can be explained because of high myelin content.
https://www.ncbi.nlm.nih.gov/books/NBK526007/





Comments
Post a Comment